Niềng răng cắn sâu răng hô
Sai khớp cắn, đặc biệt là răng cửa hàm trên hô ra trước, có thể làm gia tăng khả năng xảy ra chấn thương răng. Có khoảng 1/3 nguy cơ để một đứa trẻ có khớp cắn hạng II chưa điều trị sẽ bị chấn thương răng cửa hàm trên, nhưng trong hầu hết trường hợp, hậu quả chỉ là những chỗ sứt mẻ nhỏ trên men gây ra vết nứt trên răng và/hoặc làm giảm sự sống của tủy.
Và nguy cơ ngày càng tăng khi bệnh nhân hô đi kèm với cắn sâu. Như bạn đã biết:
Cắn sâu quá mức, trong trường hợp răng cửa dưới chạm khẩu cái, có thể gây phá hủy mô đáng kể, dẫn đến mất răng cửa hàm trên ở một vài bệnh nhân. Mòn quá mức ở răng cửa cũng xuất hiện trên một số bệnh nhân cắn sâu.
Vì lý do này, việc giảm nguy cơ chấn thương khi răng cửa chìa ra trước là điều cần thiết ngoài vấn đề thẩm mỹ răng.Và cũng là cơ hội giúp bệnh nhân và bác sĩ chỉnh hình răng đến với nhau để cải thiện vấn đề này.
Bạn có hài lòng với kết quả một trường hợp như thế này không?
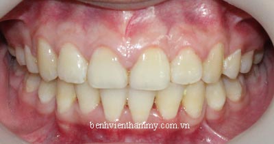
Bệnh nhân nữ 22 tuổi
Bệnh nhân có vấn đề : Răng hô-Răng chen chúc-Kèm cắn Sâu
Bệnh nhân can thiệp thẩm mỹ bằng giải pháp chỉnh hình răng cố định với:
-Mắc cài kim loại truyền thống Victory series 3M-USA
-Bệnh nhân điều trị có nhổ răng cụ thể là 14,24,34,44
-Thời gian điều trị 26 tháng


(Hình ảnh trước khi điều trị)

(Hình ảnh sau 24 tháng)


(Hình ảnh kết thúc điều trị sau 26 tháng)
Tóm lại, khiếm khuyết về chức năng lẫn tâm lý-xã hội đều có thể tạo ra nhu cầu điều trị niềng răng đáng kể.
(Thực hiện bởi bác sĩ chuyên khoa cấp I chỉnh hình răng hàm mặt-Phạm Việt Hùng-nha khoa thẩm mỹ AVA)
benhvienthammy.com.vn