Niềng Răng Khấp Khểnh
Nếu như trước kia, niềng răng được xem như một kẻ tội đồ xấu xí, khiến mọi người trêu chọc bạn, thì ngày nay, niềng răng không còn là một sự bất thường mà dần trở thành một thói quen tốt đối với các bạn trẻ.
Với những chiếc niềng nhiều màu sắc, chủ nhân của những chiếc niềng răng này sẽ rất tự hào về chúng, thậm chí nó còn trở thành một xu hướng thời trang đầy sức hút. Và một trong những nguyên nhân khiến niềng răng trở nên ít đáng sợ hơn là vì sự phát triển của y khoa.
Trước đây, ai cũng chối đây đẩy mỗi khi bị “triệu tập” đến bác sĩ nha khoa vì sợ đau và cũng vì chưa nhận ra được “lợi ích” khỏe và đẹp của hàm răng.
Nhưng bây giờ đã khác, các bạn trẻ đang ngày càng quan tâm đến việc chăm sóc răng miệng, họ sẵn sàng kiềm nén cơn đau để “được” nhổ răng, niềng răng. Tất cả vì một nụ cười xinh tỏa nắng.
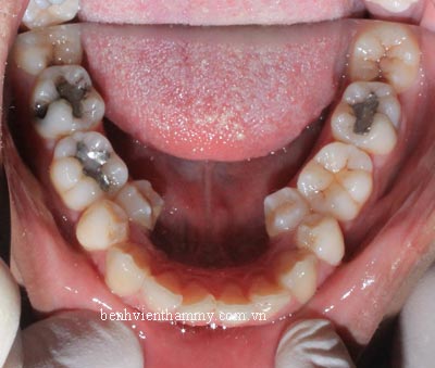
*Bạn có hài lòng với một trường hợp như thế này không?
*Bệnh nhân nam 21 tuổi
*Răng mọc khấp khểnh
*Niềng răng có nhổ răng cụ thể là răng : 14,24,35,45
*Niềng răng với mắc cài kim loại Smart Clip SL3-3M-USA
-Thời gian niềng răng 26 tháng




(Hình ảnh trước điều trị)

(Hình ảnh sau thời gian điều trị 16 tháng)

(Hình ảnh kết thúc điều trị sau 26 tháng)
Với chúng tôi thì không hài lòng với kết quả như thế.Chúng tôi liên tục cập nhật kiến thức và kinh nghiệm liên tục và hoàn toàn có thể tự tin thực hiện cho răng bạn tốt hơn như thế.
(Thực hiện bởi bác sĩ chuyên khoa cấp I chỉnh hình răng hàm mặt-Phạm Việt Hùng-nha khoa thẩm mỹ AVA)
benhvienthammy.com.vn