Răng lệch lạc, chữa thế nào?

Mất tự tin vì răng xấu
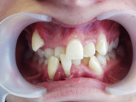
- Một ngày ở khoa nắn chỉnh răng có rất nhiều trường hợp đến khám và điều trị bệnh. Người bị vẩu, người răng khấp khểnh, người răng mọc sai vị trí. Điểm chung của mọi người khi đến đây là... hạn chế cười vì ngại.
Theo ThS. Hoàng Thị Bạch Dương, Phó khoa Nắn chỉnh răng, Viện Răng hàm mặt Quốc gia, những trường hợp đến nắn chỉnh răng tại khoa phổ biến trong độ tuổi từ 10-25. Các trường hợp đến khám nhiều nhất là răng xoay, răng khấp khểnh chật chỗ, răng vẩu, răng bị ngược (nhân dân gọi là răng móm), bệnh nhân có khe hở môi vòm miệng (sứt môi hở hàm ếch), răng mọc ngầm, răng lạc chỗ, thay đổi chỗ, răng thưa. Bệnh nhân đến phần lớn vì nhu cầu thẩm mỹ, nhưng trong quá trình chỉnh sửa, các bác sĩ sẽ vừa lưu ý đến mặt thẩm mỹ, vừa bảo đảm chức năng cho răng.
Nguyên nhân bị bệnh và cách điều trị
- ThS. Bạch Dương cho biết, có thể bị bệnh do nhiều nguyên nhân như di truyền, do sự mất cân xứng về kích thước giữa răng và hàm, các bệnh khiếm khuyết do sứt môi hở hàm ếch, do thói quen xấu như mút ngón tay, cắn môi, mút môi, trẻ bú bằng núm vú cao su trong thời gian dài, trẻ bị sâu răng sữa nhưng không điều trị.
Bệnh nhân muốn điều trị bệnh thì phải đến các cơ sở y tế chuyên khoa về răng hàm mặt. Các bác sĩ sẽ khám, chụp phim, lấy mẫu in dấu răng hai hàm. Tùy loại bệnh, các bác sĩ sẽ sử dụng các dụng cụ điều trị như chỉnh lực ngoài miệng, hàm chống thói quen xấu, hàm tháo lắp hoặc hàm gắn chặt để điều chỉnh răng cho bệnh nhân. Điểm chung của các dụng cụ điều chỉnh răng là có phần nhựa, các dây tạo lực và chốt gắn vào răng.
Thời gian điều trị chia làm hai thời kỳ. Thời kỳ thứ nhất từ 1-2,5 năm, thời kỳ thứ 2 là đeo hàm giữ kết quả trong khoảng thời gian từ 6 tháng đến 1 năm. Trong một số trường hợp đặc biệt, thời gian điều trị có thể trải qua nhiều giai đoạn, kéo dài và cần sự hợp tác của các chuyên ngành khác về răng như nha chu, phẫu thuật, tạo răng giả.
Sau khi gắn hàm, bệnh nhân cần tuyệt đối tuân thủ sự hướng dẫn của bác sĩ cả về vệ sinh, ăn uống và tái khám. Trong thực tế, có nhiều bệnh nhân làm trái ngược hẳn với sự hướng dẫn của bác sĩ. Ví dụ bệnh nhân sử dụng hàm tháo lắp thì tuyệt đối không được tháo bỏ tùy tiện. Nhưng thời gian đầu mới lắp, bệnh nhân thường gặp vướng víu và khó khăn trong ăn uống nên nhiều người đã tự động tháo ra lắp vào.
ThS. Dương hướng dẫn các bệnh nhân, giống như mình đun một ấm nước, nếu cứ để lửa cháy nhỏ thì không bao giờ có ấm nước sôi, gắn hàm chỉnh răng cũng vậy. Nếu tháo lắp hàm không đúng hướng dẫn sẽ không tạo được lực để điều chỉnh răng. Đã có những trường hợp bị xê dịch hàm hoặc làm cho răng xấu hơn cả trước khi điều trị.
Cần tránh những quan niệm sai lầm
- Thứ nhất là nên nắn chỉnh răng đúng các địa chỉ có chuyên khoa răng hàm mặt, tránh điều trị ở những nơi không có bác sĩ chuyên khoa. Có bệnh nhân nắn răng không theo đúng quy trình nên răng bị rụng, bị tiêu nhiều xương, có người lệch cả hàm. Bệnh nhân càng được nắn chỉnh sớm càng tốt, ngay cả khi chưa cần mọc hết răng, nhất là đối với các trường hợp sứt môi hở hàm ếch.
Bên cạnh đó, có những trường hợp cần phải nhổ bớt răng khi nắn chỉnh để "trả lại không gian" cho các răng khác, nhưng bệnh nhân nằng nặc từ chối vì sợ nhổ răng sẽ ảnh hưởng sức khỏe. Theo ThS. Dương, đây là điều hết sức bình thường, không có gì đáng lo ngại.
Và cuối cùng là lưu ý cho các bà mẹ có con nhỏ. Nhiều người quan niệm răng sữa sâu không ảnh hưởng gì đến hàm răng sau này của bé. Quan niệm này rất nguy hại, bởi vì mỗi người đều có 2 loại răng, một loại răng sữa và một loại răng vĩnh viễn. Răng vĩnh viễn nằm dưới răng sữa. Chính vì vậy, khi răng sữa bị sâu sẽ ảnh hưởng đến hàm răng vĩnh viễn. Nếu răng sữa bị nhổ quá sớm, hàm răng vĩnh viễn không có gì để định hướng sẽ mọc không theo trật tự và có trường hợp còn bị tiêu xương răng.
Nhìn chung, để phòng răng mọc "mất trật tự", việc giữ gìn vệ sinh răng miệng sạch sẽ vẫn là yếu tố quyết định. Bạn nên kiểm tra răng miệng một năm 2 lần. Nếu phát hiện bị các bệnh liên quan đến răng cần điều trị ngay để tránh các biến chứng. Nhiều biến chứng dẫn đến xô lệch hàm răng, phải điều trị rất tốn kém.
Theo MINH THU -Báo Sức khoẻ & đời sống
Bệnh Viện Nha Khoa Thẩm Mỹ AVA
Địa chỉ : 290 Hai Bà Trưng - P.Tân Định - Q.1 - TP.HCM
Hotline : 0822.297.297