Xử lý răng chen chúc triệt để
Mỗi lần cười tươi hết cỡ để lộ hàm răng chen chúc lộn xộn mất tự nhiên là nỗi ám ảnh của rất nhiều người.
Nhưng thực ra bắt những “bé răng” cứng đầu này xếp hàng trật tự trở lại cũng không khó.

Bạn có đang trong tình trạng cười không dám cười?
Tìm hiểu nguyên nhân tại sao răng lại mọc chen chúc lộn xộn?
Răng mọc sát nhau trên nền móng là xương hàm. Nếu nền móng không vững chắc, quá chật hẹp hoặc quá trình mọc không suôn sẻ khả năng cao sẽ gây sự lộn xộn đối với răng vĩnh viễn sau này.
Từ khi trong bào thai, đến khi sinh ra và lớn lên, dinh dưỡng đầy đủ rất quan trọng đối với cơ thể, trong đó có hệ xương và xương hàm nói riêng.
Khi xương hàm kém phát triển không đủ chỗ sẽ gây ra sự lộn xộn cho răng. Ngoài ra trong thời kỳ răng sữa, nếu chăm sóc không kỹ lưỡng sẽ dễ bị sâu răng sữa, viêm nướu. Điều này cũng là tác nhân quan trọng gây ra sự mọc bất thường của các răng vĩnh viễn.
Làm sao sắp xếp răng lại ngay ngắn?
Câu trả lời đơn giản là chỉnh nha hay niềng răng. Đây là phương pháp an toàn nhất cho cơ thể. Bệnh nhân sẽ đeo khí cụ trọng nhiều tháng để bắt những chiếc răng lộn xộn trở lại vị trí đúng của nó.
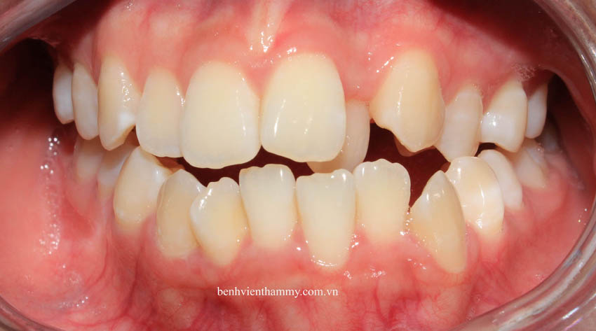
Nếu ai đó hoài nghi về hiệu quả của niềng răng thì hãy xem qua quá trình niềng răng của 1 bệnh nhân 19 tuổi dưới đây.
Trước khi điều trị với răng rất lộn xộn chen chúc
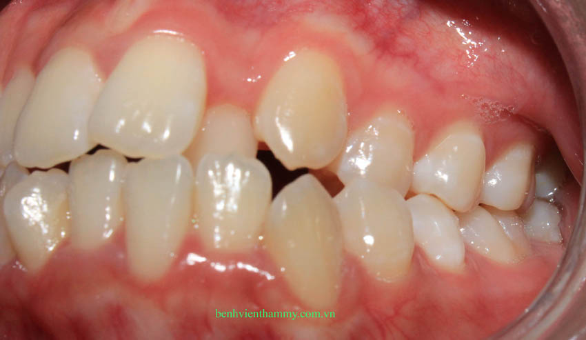
Răng đeo niềng tháng thứ 18
Nụ cười sau khi niềng răng hoàn toàn tự nhiên, giúp người sở hữu nó thỏa sức vui cười không một chút e ngại. Chỉ cần kiên trì chăm sóc răng cẩn thận và tuân thủ dặn dò của bác sĩ thì bệnh nhân sẽ sớm có hàm răng ưng ý.
Bên cạnh chỉnh nha còn có cách nào khác để điều trị?
Đương nhiên là có: phẫu thuật, phục hình hoặc implant. Tuy nhiên như đã nói ở trên, chỉnh nha là phương pháp an toàn nhất.
Chỉ cần tốn chút thời gian nhưng tránh được những tác động sang chấn cho cơ thể. Bác sĩ sẽ tư vấn cho bạn phương pháp phù hợp nhất đối với bạn. Vì vậy nếu có hàm răng chưa được tự tin, hãy tìm bác sĩ răng hàm mặt của bạn ngay.
Hình ảnh lâm sàng được điều trị tại Nha khoa Thẩm mỹ AVA
