Mòn răng thông tin cần biết

mon-rang-aMòn răng
• Định nghĩa: tổn thương mô răng do tác nhân cơ
học, hóa học, hay kết hợp
• Nguyên nhân:
-Chà xát/ ma sát với vật liệu ngoại lai khi nhai,
chải răng
-Giữ vật dụng bằng răng
-Ảnh hưởng của răng đối kháng
-Tác động của lực kéo căng và nén khi răng uốn
-Hòa tan hóa học


1. Mòn răng cơ học do tác nhân của vật bên ngoài (Abrasion):

mon-rang-1
• Nguyên nhân: 
- Phương thức VSRM (chải răng/sử dụng
chỉ quá mức, kem đánh răng)
- Thói quen
- Nghề nghiệp
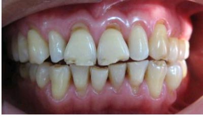
2.Mòn răng cơ học do tác nhân răng đối kháng(Attrition):

mon-rang-2
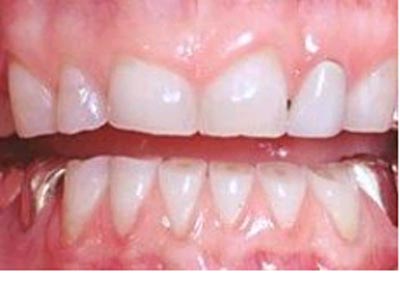
3.Mòn răng do áp lực( Abfraction):

mon-rang-3
Mòn cơ học là hậu quả của áp lực kép căng và nén hay làm đứt vỡ tác động lên vùng tiếp nối men – cement gây ra vi nứt trên men và ngà
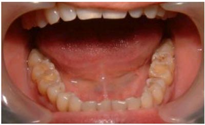
4.Mòn răng do tác động hóa học (Erosion):

mon-rang-4
-Tổn thương mô răng do tác động hóa học của acid (ngoại lai / nội tại) hoặc do chất chelat (chelator) trên mặt răng không có mảng bám
Đặc trưng:
- Mất cấu trúc bề mặt
- Hình dạng bề mặt thay đổi, múi, rãnh mất nét
- Mặt lõm nông trên thân răng vùng cổ răng

benhvienthammy.com.vn