Tìm hiều về Fluor

TL: Một lượng nhỏ fluoride dùng thường xuyên sẽ giúp phòng ngừa sâu răng. Fluor thúc đẩy quá trình "tái khoáng hóa", tức là làm cho những vùng răng yếu cứng chắc trở lại. Những điểm yếu này thường là nơi bắt đầu sâu răng. Fluoride hiện diện tự nhiên trong nguồn nước và nhiều loại thức ăn. Ngoài ra, fluoride còn có trong kem đánh răng, nước súc miệng, gel fluo, vec-ni fluo và các dạng viên/ giọt fluo bổ sung. Fluo sẽ phát huy hiệu quả khi phối hợp với một chế độ ăn lành mạnh và vệ sinh răng miệng tốt.
H: Con tôi có cần dùng thêm các dạng viên/giọt fluo bổ sung không?
TL: Trẻ em từ 6 tháng tuổi đến 16 tuổi có thể cần viên/giọt fluo bổ sung. Nha sĩ trẻ em sẽ xem xét nhiều yếu tố khác nhau và quyết định con bạn có cần dùng thêm viên/giọt fluoride không. Một số yếu tố quan trọng để xem xét gồm: tuổi, nguy cơ sâu răng, nguồn nước sử dụng... Nước đóng chai, nước lọc và nước giếng có nồng độ fluo khác nhau và có thể cần phân tích hàm lượng fluoride trong nước để kê toa đúng liều lượng fluoride cần thiết.
H: Trẻ nên dùng những loại kem đánh răng nào?
TL: Con bạn nên dùng những loại kem đánh răng có fluoride và có dấu chấp nhận của các cơ quan uy tín trong ngành chăm sóc sức khỏe răng miệng (Hội Răng Hàm Mặt, Viện Răng Hàm Mặt...). Trẻ nhỏ, đặc biệt là trẻ tuổi mẫu giáo, cần được phụ huynh giám sát cẩn thận để tránh nuốt kem đánh răng. Chỉ nên dùng một lượng nhỏ kem đánh răng cỡ hạt đậu cho mỗi lần đánh răng. Nếu không theo dõi cẩn thận, trẻ em có thể dễ dàng nuốt một lượng fluo gấp 4 lần lượng fluo cần thiết mỗi ngày trong kem đánh răng.
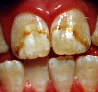
H: Fluor an toàn như thế nào ?
TL: Fluoride đã được ghi nhận là an toàn và có hiệu quả cao. Nghiên cứu cho thấy fluoride hóa nước uống là cách hiệu quả và rẻ tiền nhất, làm tỉ lệ sâu răng giảm hơn 50%. Chỉ cần một lượng nhỏ fluoride là đã mang lại hiệu quả tối ưu. Phải kiểm soát lượng kem đánh răng dùng vừa đủ cũng như tính toán chặt chẽ các dạng viên/giọt fluo nhằm tránh quá liều, có thể gây ra những đốm trắng trên bề mặt các răng vĩnh viễn đang hình thành. Đừng để ống kem đánh răng trong tầm tay trẻ. Mùi vị của kem, ngoài việc giúp trẻ thích chải răng, cũng có thể khơi gợi thèm muốn nuốt kem.
H: Liệu pháp Fluo tại chỗ là gì?
TL: Fluoride bôi tại chỗ có nhiều dạng. Dạng gels được cho vào khay và đưa khay vào miệng trẻ sau khi làm sạch răng, được thực hiện tại phòng nha. Vec-ni fluo là một dạng fluo tại chỗ mới hơn, cũng được bôi ở phòng nha. Dạng này đã được ghi nhận là an toàn và hiệu quả trong phòng ngừa sâu răng qua một lịch sử sử dụng lâu dài ở Châu Âu
Những ưu điểm của vec-ni là:
o Bôi lên răng dễ dàng và nhanh chóng.
o Giảm nguy cơ nuốt fluoride.
o Tiếp tục ngấm vào men răng trong vòng 24 giờ sau khi bôi.
Phương pháp này đặc biệt hữu ích ở trẻ em nhỏ và những người có vấn đề đặc biệt không chịu được khay fluo
Fluor tại chỗ có lợi nhất cho trẻ có nguy cơ sâu răng cao. Yếu tố nguy cơ bao gồm: có tiền sử sâu răng, chế độ ăn nhiều đường sucrose, mang khí cụ chỉnh nha và trong một số bệnh lý y khoa như khô miệng.
(nhasisaigon)