Bạn biết gì về hàm giữ khoảng?

Hàm giữ khoảng là gì?
Hàm giữ khoảng là một khí cụ tháo lắp hoặc cố định nhằm để giữ khoảng cần thiết cho răng vĩnh viễn mọc.
Chức năng của hàm giữ khoảng
- Chức năng ăn nhai: Mất răng hàm vĩnh viễn thứ 1 sẽ làm giảm đi 25% sức nhai do vậy ảnh hưởng nhiều đến quá trình tiêu hóa và qua đó ảnh hưởng không tốt đến sự phát triển của trẻ.
Giữ kích thước dọc và kích thước ngang: Nếu không có hàm giữ khoảng thì do hiện tượng di gần của các răng phía sau sẽ làm mất khoảng cần thiết cho các răng vĩnh viễn mọc. Hàm giữ khoảng còn có tác dụng ngăn cản hiện tượng chồi của các răng đối đỉnh. Nếu các răng sữa mất sớm kèm theo có hiện tượng giảm chiều cao của xương ổ răng có thể gây ra hiện tượng vẩu giả và làm lệch lạc xương ổ răng.
Chức năng phát âm và thẩm mỹ: Trong trường hợp mất các răng phía trước (thường do hội chứng bú bình hoặc chấn thương), chức năng phát âm và thẩm mỹ sẽ bị ảnh hưởng nhiều. Hàm giữ khoảng sẽ cho phép phục hồi lại các chức năng này.
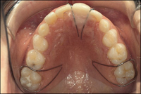
Hàm giữ khoảng tháo lắp, các răng mất sớm được thay thế bằng các răng giả.
Hàm giữ khoảng được sử dụng khi nào?
- Hàm giữ khoảng được lắp sau nhổ răng sữa sớm 15 ngày vì các lý do: răng bị sâu, răng vỡ quá to không thể bảo tồn, chấn thương (thường gặp các răng trước), nhiễm khuẩn tại chỗ hoặc toàn thân.
Hàm giữ khoảng càng có tác dụng khi nó có thể được lắp ngay sau khi nhổ sớm các răng sữa.
Các loại hàm giữ khoảng
Có 2 loại chính đó là hàm giữ khoảng tháo lắp và giữ khoảng cố định. Lựa chọn hàm giữ khoảng phụ thuộc vào từng trường hợp lâm sàng cụ thể, sự hợp tác và điều kiện vệ sinh của trẻ, điều kiện tài chính của gia đình. Dù là hàm giữ khoảng tháo lắp hay cố định thì nó phải bảo đảm được chức năng ăn nhai, giữ được kích thước dọc và ngang, bảo tồn được chức năng phát âm và thẩm mỹ, tương hợp với mô mềm, cho phép vệ sinh tốt, chịu lực và dễ sử dụng.
Giữ khoảng tháo lắp: Được chỉ định trong trường hợp mất nhiều răng trên cùng một cung răng, hàm lưu giữ được nhờ sự thích ứng tinh tế với niêm mạc và các móc. Ưu điểm của loại này là: thăng bằng cơ học, phục hồi được thẩm mỹ và phát âm, lập lại được kích thước dọc của khớp cắn, không cần thiết mài răng trụ, cho phép thực hiện các chức năng nắn chỉnh, có thể sửa chữa thích ứng với sự thay đổi của cung răng, dễ vệ sinh và không ảnh hưởng đến vệ sinh cung răng. Bên cạnh đó, hàm tháo lắp này vẫn còn một số nhược điểm như: gây vướng trong miệng, tác dụng phụ thuộc nhiều vào sự hợp tác của bệnh nhân, giá đắt, dễ bị mất và gãy vỡ, có thể cản trở sự phát triển. Do vậy hàm này được chỉ định trong trường hợp: mất nhiều răng, mất 2 bên răng hàm sữa thứ 1 và 2, thiếu răng trụ và mắc giữ không đủ.
Hàm giữ khoảng cố định: Hàm này được lưu giữ nhờ các khâu nắn chỉnh răng hoặc các chụp thép có sẵn. Hàm giữ khoảng cố định có thể ở một bên hoặc hai bên. Ưu điểm: ít vướng, đắt tiền, hiệu quả hơn vì cố định. Nhược điểm: đòi hỏi vệ sinh tốt, phải chuẩn bị răng trụ, không phục hồi lại được kích thước dọc của khớp cắn, có thể bị bong hoặc gãy. Hàm này được chỉ định trong những trường hợp: mất một răng ở một bên, mất hai bên: trong trường hợp này hàm cần có các khâu nắn chỉnh và hàm có cấu tạo giống như cung lưỡi.
Tóm lại:
- Hàm giữ khoảng có tác dụng tốt để bảo tồn khoảng cần thiết giúp cho răng vĩnh viễn mọc được tốt. Những trường hợp răng sữa bị mất sớm trước tuổi thay răng sinh lý, cần khám bác sĩ chuyên khoa nắn chỉnh răng hoặc răng trẻ em để có chỉ định điều trị thích hợp. Trước khi lựa chọn hàm giữ khoảng cần chú ý đến: tình trạng mất răng và mong muốn của bệnh nhân, đặt hàm giữ khoảng sau nhổ răng 15 ngày, không để quá muộn, kiểm soát chặt chẽ, theo dõi định kỳ lâm sàng và Xquang.
ThS. Võ Trương Như Ngọc-SKĐS
Bệnh Viện Nha Khoa Thẩm Mỹ AVA
Địa chỉ : 290 Hai Bà Trưng - P.Tân Định - Q.1 - TP.HCM
Hotline : 0822.297.297