Làm sao chữa được bệnh nha chu?


Chữa bệnh nha chu viêm tức là phòng bệnh ngay từ đầu:

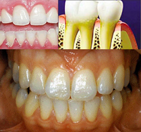
- Đừng để vôi răng gây viêm nướu,

- Đừng để nha chu qua giai có túi nướu (Pockets)

- Đừng để bệnh nha chu tiến triển sang đoạn 3 (tiêu xương ổ răng là răng bị lung lay) sẽ khó hồi phục.

  • Tóm lại vũ khí để chống lại bệnh nha chu chính là bàn chải răng và chỉ tơ nha khoa (dental floss).

Bệnh nha chu không phải ai cũng biết, ngay cả các BS Y khoa có khi cũng chưa hiểu rõ về căn bệnh nầy vì trong chương trình học, chuyên khoa RHM là chuyên khoa sâu, sinh viên Y Khoa chỉ học qua cho biết cũng như cưởi ngựa xem hoa vì vậy việc chăm sóc răng miệng ,

6 tháng phải cạo vôi răng một lần, sử dụng chỉ tơ nha khoa đó là những điều mà ít khi bệnh nhân chú ý đến

Bệnh nha chu rất dễ phòng ngừa, nếu bạn giữ răng miệng sạch sẽ thì không bao giờ sợ bệnh nha chu. Trong khi bệnh sâu răng khó hơn, bạn đã chải răng sạch, chăm sóc răng rất kỹ nhưng chỉ làm giảm sâu răng chứ không hoàn toàn hết sâu răng.

Bs.Trần Ngọc Đỉnh