Viêm nha chu - chớ coi thường!


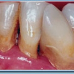
Biểu hiện thường thấy là nướu viêm đỏ, dễ chảy máu, chảy mủ, tiêu xương ổ răng, răng lung lay, và cuối cùng là mất răng. Có thể nói phần lớn các trường hợp mất răng ở người trưởng thành là do bệnh nha chu gây nên.

  • Nguyên nhân gây bệnh nha nhu chính là các vi khuẩn hiện diện trong mảng bám răng. Ngoài ra, bệnh nha chu còn có thể xuất hiện khi chế độ dinh dưỡng không đảm bảo, khi tâm lý căng thẳng làm giảm sức đề kháng của cơ thể, hút thuốc lá, bị bệnh tiểu đường hay các bệnh tác hại đến hệ thống miễn dịch như bệnh bạch cầu.


Bệnh nha chu thường diễn biến qua 2 giai đoạn:

  • Viêm nướu và viêm nha chu. Ở giai đoạn nướu bị viêm, nếu được điều trị kịp thời, bệnh sẽ khỏi hẳn. Nếu không điều trị tình trạng viêm nướu kéo dài sẽ dẫn đến tình trạng phá hủy mô và gây viêm nha chu. Lúc đó, dù điều trị thế nào, cũng không thể hồi phục như cũ vì bệnh đã phá hủy các mô nâng đỡ răng sâu bên dưới nướu như xương, dây chằng nha chu và xê-măng. Có những trường hợp phản ứng viêm bị che lấp nên khó nhận biết, trong khi xung quanh chân răng đã hình thành các sang thương bệnh lý như mất bám dính, xương ổ bị phá hủy tạo thành một tổn thương thực thể gọi là túi nha chu. Trong các túi này, tình trạng nhiễm trùng tiếp tục phát triển. Dần dần, bệnh càng tiến triển khiến hiện tượng tiêu xương ngày một trầm trọng, răng lung lay, đôi khi không thể giữ được và phải nhổ đi.

Những dấu hiệu cần lưu ý:

- Chảy máu nướu khi chải răng; Nướu đỏ, sưng, tách ra khỏi răng; Hơi thở hôi dai dẳng; Có ổ mủ hoặc có mủ chảy ra ở giữa răng và nướu ở vùng cổ răng; Răng lung lay hoặc thưa ra, đặc biệt khi nhai. Khi gặp những dấu hiệu trên nên đến gặp nha sĩ. Tuy nhiên, thông thường bệnh nha chu xảy ra không rõ ràng, bởi phần lớn thời gian diễn tiến bệnh không kèm theo triệu chứng đau đặc hiệu, vì vậy việc khám răng miệng định kỳ, trong đó khám toàn diện mô nha chu, là rất cần thiết.

Nếu bạn bị viêm nha chu, thông thường có 4 loại điều trị căn bản thường được áp dụng: khẩn cấp, không phẫu thuật, phẫu thuật và duy trì. Điều trị không phẫu thuật có tỷ lệ áp dụng cao nhất, là bước điều trị đầu tiên trong bệnh nha chu, gồm 2 bước. Ở bước sơ khởi, nha sĩ sẽ đánh giá các yếu tố thuận lợi cho sự lưu giữ mảng bám, cản trở vệ sinh răng miệng và kiểm soát mảng bám vi khuẩn và loại bỏ các yếu tố đó bằng cách:

- Chỉnh sửa hoặc thay thế tất cả những miếng trám không đúng kỹ thuật.

- Chỉnh sửa hoặc thay thế những phục hình không đúng kỹ thuật.

- Đánh giá và chỉ định răng cần nhổ (không thể giữ được).

- Cố định răng (nếu răng lung lay).

- Thực hiện phục hình tạm thời (nếu cần thiết).

- Cạo cao răng

- xử lý mặt gốc răng.

  • Lấy cao răng là một thủ thuật không nhất thiết do bác sĩ thực hiện, được chỉ định cho tất cả mọi kế hoạch điều trị nha chu. Với những trường hợp viêm nướu, nó sẽ cho kết quả rất khả quan.
  • Khi tự điều trị bằng kháng sinh và thấy hết đau chưa hẳn đã khỏi bệnh. Bệnh vẫn tồn tại và trở thành mạn tính, thỉnh thoảng sẽ bộc phát cơn cấp tính (tái diễn theo chu kỳ và ngày càng trầm trọng). Nếu bạn chỉ mới bị viêm nướu, tình trạng đó sẽ khiến bạn chuyển nhanh sang giai đoạn bệnh viêm nha chu. Nếu đã bị viêm nha chu thì bệnh sẽ ngày càng trầm trọng, làm răng lung lay nhiều hơn, cuối cùng là mất răng.
  • Để phòng bệnh nha chu, điều quan trọng nhất là đánh răng đều đặn sau các bữa ăn và trước khi đi ngủ để loại bỏ mảng bám vi khuẩn trên bề mặt răng và khe nướu, đảm bảo được sức khỏe răng miệng. Sáu tháng 1 lần, nên đến nha sĩ khám răng định kỳ và lấy sạch vôi răng, mảng bám ở những nơi bàn chải không làm sạch được.

Bác sĩ Xuân Hòa-SKĐS