Bệnh nha chu có thể làm mất răng
 - Bệnh nha chu là bệnh của các mô quanh răng. Nếu không được điều trị, bệnh tiến triển đưa đến mất răng. Bệnh nha chu tiến triển chậm, không đau, hoặc ít đau nên nhiều người thường bỏ qua. Tuy nhiên, nếu chẩn đoán và điều trị sớm có thể giữ được răng.
 - Bệnh nha chu là bệnh của các mô quanh răng. Nếu không được điều trị, bệnh tiến triển đưa đến mất răng. Bệnh nha chu tiến triển chậm, không đau, hoặc ít đau nên nhiều người thường bỏ qua. Tuy nhiên, nếu chẩn đoán và điều trị sớm có thể giữ được răng.- Nguyên nhân chính gây ra bệnh nha chu là sự tích tụ của vi khuẩn trong mảng bám. Mảng bám được thành lập liên tục trên răng. Mảng bám kích thích nướu, làm nướu viêm đỏ, bở, sưng, chảy máu lúc chải răng hay xỉa răng. Nếu không được loại bỏ, mảng bám trở nên cứng và được gọi là vôi răng. Vôi răng không thể được lấy đi bằng chải răng thông thường, mà chỉ có thể được làm sạch bởi bác sĩ răng hàm mặt với dụng cụ cầm tay hay bằng máy
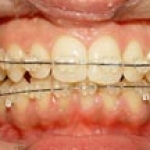
 Bệnh viêm nướu có khả năng hồi phục, nhưng nếu không điều trị có thể tiến triển sang viêm nha chu khi mô liên kết nướu với răng bị phá hủy. Khi đó một túi sẽ được tạo thành giữa răng và nướu (gọi là túi nha chu). Mảng bám và vôi răng tiếp tục tích tụ trong túi nha chu này đến khi xương nâng đỡ răng bị tiêu làm răng lung lay, miệng có mùi hôi khó chịu.
Bệnh viêm nướu có khả năng hồi phục, nhưng nếu không điều trị có thể tiến triển sang viêm nha chu khi mô liên kết nướu với răng bị phá hủy. Khi đó một túi sẽ được tạo thành giữa răng và nướu (gọi là túi nha chu). Mảng bám và vôi răng tiếp tục tích tụ trong túi nha chu này đến khi xương nâng đỡ răng bị tiêu làm răng lung lay, miệng có mùi hôi khó chịu.Có một số yếu tố làm thay đổi phản ứng của nướu đối với mảng bám hoặc vôi răng, do đó làm thay đổi sự đáp ứng của cơ thể đối với bệnh nha chu và làm bệnh nặng hơn như: hút thuốc lá, bệnh đái tháo đường, tình trạng căng thẳng, tật nghiến răng, thai nghén, dậy thì, chế độ ăn uống và dinh dưỡng, các rối loạn hệ miễn dịch.

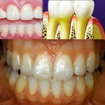
(Diễn tiến bệnh nha chu:bình thường_viêm nướu_bệnh nha chu:nhẹ-trung bình-nặng)
- Để phòng ngừa bệnh nha chu, chúng ta nên: chải răng đều đặn ngày ba lần sau mỗi bữa ăn chính để loại bỏ mảng bám. Sử dụng thêm chỉ nha khoa để làm sạch các mặt bên của răng. Ăn uống cân bằng, đủ chất. Tránh ăn vặt với thức ăn dính, ngọt.
ThS.BS NGUYỄN BÍCH VÂN (ĐH Y dược TP.HCM)
(Tuổi trẻ)
 
 
								 
 
					  
                 
					  
                 
					  
                 
					  
                 
							 
							 
							 
							 
							 
							 
							 
							 
							 
							 
							 
							 
							 
							 
							 
							 
							 
							 
							 
							 
							 
							 
							 
							 
							 
							 
							

