Phương pháp mới điều trị tụt Lợi/Nướu


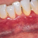
phuong-phap-moi-dieu-tri-nuouTụt lợi là quá trình lộ bề mặt chân răng do sự di chuyển về phía chóp chân răng của lợi. Tụt lợi là điềm báo trước sự mất cement chân răng, lộ ngà, tăng cảm giác và giảm thẩm mỹ. Phương pháp điều trị tụt lợi tốt nhất là ghép nha chu chân răng.

Phương pháp mới điều trị tụt Lợi/Nướu

Vì sao bị tụt lợi?

  • Tụt lợi có thể là do chải răng sai kỹ thuật dẫn đến mòn lợi, mặc dù chải răng quan trọng cho sự lành mạnh của lợi nhưng chải răng sai kỹ thuật và quá mạnh sẽ làm tụt lợi. Mức độ tụt lợi còn phụ thuộc vào vị trí của răng trên cung hàm, góc của chân răng trong xương hàm, độ cong gần xa của bề mặt chân răng. Ngoài ra, tụt lợi có thể do viêm lợi, viêm quanh răng thường là nguyên nhân gây tụt lợi. Sang chấn khớp cắn cũng là yếu tố phối hợp làm trầm trọng co lợi do kích thích tăng sinh biểu mô và viêm tại chỗ. Lợi có thể bị tụt do một số tổn thương gây ra bởi virut. Các phương pháp điều trị viêm quanh răng cũng có thể gây tụt lợi.

Hậu quả tụt lợi

  • Tụt lợi là điềm báo trước sự mất cement chân răng, lộ ngà, tăng cảm giác và giảm thẩm mỹ.

Mất men răng và cement chân răng có thể xảy ra từ từ hoặc đột ngột sau khi lợi bị tụt, nếu tổ chức cứng của răng bị mòn nhanh có thể gây buốt răng, nếu mòn từ từ thì thường không bị buốt răng vì răng có cơ chế bảo vệ tạo ra các lớp ngà phản ứng ở vị trí sát tủy răng làm cho ngà răng dày lên.

Một số răng có vùng lợi bám dính hẹp, nếu vùng lợi bám dính này giảm đi do tụt lợi, sẽ không còn lợi che phủ và bảo vệ cổ răng, cổ răng và chân răng sẽ bị mòn do sang chấn từ bàn chải và thức ăn vì xương ổ răng mặt ngoài thường mỏng, loại bàn chải và kỹ thuật chải răng sẽ quyết định mức độ mòn tổ chức cứng của răng. Ngoài ra, lợi tụt làm hở chân răng, đối với các răng cửa và răng nanh sẽ giảm thẩm mỹ.

Tự chăm sóc để cải thiện tình trạng bệnh

  • Để giảm những hậu quả trên, cần có nhiều biện pháp chăm sóc can thiệp để giảm thiểu những hậu quả, bao gồm cả tự chăm sóc và chăm sóc tại phòng khám răng.

Bệnh nhân có thể tự chăm sóc bằng cách chọn bàn chải và kem đánh răng cẩn thận. Về chải răng nên chọn loại bàn chải có đầu lông tròn mềm để làm giảm nguy cơ sang chấn lợi làm tụt lợi, mòn cement răng và ngà răng. Nên dùng nước ấm để chải răng thì sẽ đỡ buốt răng. Về thuốc chải răng nên sử dụng các loại phổ biến nhất có fluoride, fluoride có tác dụng làm men răng cứng hơn, trong thuốc có các hạt tinh thể sẽ bám vào những vị trí lỗ ống ngà bị hở làm giảm ê buốt răng. Những người ê buốt răng có thể dùng loại kem chải răng có 5% potassium nitrate, chất này thấm vào các ống ngà và khử cực thần kinh làm giảm nhạy cảm của răng.

Ngoài ra còn có thể sử dụng nước súc miệng và có chế độ ăn tốt. Người bị tụt lợi nên dùng nước súc miệng có chlorhexidine (0,12%), sodium fluoride (0,2%), potassium nitrate (3%) có tác dụng giảm ê buốt và giảm mòn răng.

Nên hạn chế ăn uống các loại hoa quả như nước chanh, cam, nước ngọt có gas, sữa chua vì nó làm tăng cảm giác buốt răng

Các bác sĩ chuyên khoa răng giúp gì cho bạn?

Dùng thuốc bôi hoặc thuốc ngậm có fluoride:

  • bệnh nhân có thể được hướng dẫn ngậm máng plastic có gel fluoride khi ngủ hoặc hằng ngày tới phòng khám răng để bôi dung dịch fluoride lên những vị trí răng bị buốt trong khoảng 5 đến 6 ngày, hiện tượng ê buốt sẽ giảm nhiều, tuy nhiên đây chỉ là giải pháp tạm thời.

Lazer kết hợp bôi dung dịch fluoride:

  • các thử nghiệm tại Mỹ cho thấy sử dụng dung dịch fluoride kết hợp ánh sáng lazer giúp bịt kín 90% các ống ngà bị hở ngay sau lần chiếu tia đầu tiên, giúp bệnh nhân giảm thời gian đến phòng khám bệnh.

Phủ mặt răng bằng composite hoặc xi măng glassionomer:

  • đây được coi là phương pháp hiệu quả để giảm ê buốt răng, đặc biệt với những mặt răng đã bị mòn do chải răng.

Phẫu thuật mới điều trị tụt lợi

  • Bệnh nhân có thể được ghép tổ chức bù lại phần lợi bị tụt để che phủ chân răng và cổ răng, tránh mòn tổ chức cứng của răng, tổ chức ghép có thể lấy ở vùng hàm ếch hoặc vùng răng lân cận. Phẫu thuật ghép tổ chức nha chu là phương pháp tốt nhất để phục hồi thẩm mỹ và chức năng cho người bệnh. Các phương pháp thường được sử dụng để che phủ chân răng:

- Vạt có chân nuôi (Pedicle flap hay Sliding pedicle flap):

  • Loại vạt trượt bên có chân nuôi được chỉ định khi mô nha chu ở vùng kẽ răng còn tốt và lợi vùng bên cạnh còn đủ rộng, đủ cao để tạo vạt trượt bên.

- Ghép lợi tự do tự thân (Autogenous free gingival graft):

  • Khi không tiến hành được loại vạt có chân nuôi và vạt đẩy về phía cổ răng thì dùng vạt lợi tự do, nơi hiến vạt là niêm mạc và tổ chức liên kết ở phía hàm ếch, thường từ răng nanh đến răng số 6. Phương pháp ghép lợi tự do tự thân có ưu điểm cung cấp vạt che phủ có diện tích đủ rộng cho vùng lộ chân răng nhưng có nhược điểm màu lợi không phù hợp với phần lợi xung quanh.

Ghép vạt tổ chức liên kết dưới biểu mô (Subepithilial connectivetissue graft):

  • thường dùng cho những trường hợp co lợi nhiều trên một răng, co lợi nhiều răng, đặc biệt co lợi ở hàm trên là nơi khó thành công với vạt có chân nuôi và vạt lợi tự do. Loại vạt tổ chức liên kết dưới biểu mô là sự kết hợp ưu điểm của hai loại vạt: vạt có chân nuôi và vạt lợi tự do. Cho tới thời điểm hiện nay, ghép vạt tổ chức liên kết dưới biểu mô là phương pháp có hiệu quả nhất để che phủ chân răng. Ghép vạt tổ chức liên kết dưới biểu mô có những ưu điểm sau: có thể áp dụng cho co lợi đơn lẻ và co lợi nhiều răng, áp dụng được cho các trường hợp co lợi hẹp (nhỏ hơn 3mm) và co lợi rộng (hơn 3mm), không phụ thuộc vào độ sâu ngách lợi, không phụ thuộc vào tổ chức phần mềm lân cận. Tuy nhiên loại vạt này có nhược điểm là kỹ thuật phức tạp hơn các phương pháp khác vì phải bóc một lớp tổ chức liên kết ở vùng hàm ếch, thời gian phẫu thuật kéo dài hơn các phương pháp khác. Janke-PV và cộng sự tiến hành nghiên cứu so sánh hai loại phẫu thuật ghép vạt lợi tự do và vạt tổ chức liên kết dưới biểu mô thấy kết quả che phủ vùng chân răng bị lộ của vạt tổ chức liên kết dưới biểu mô là 80% so với 43% của vạt lợi tự do (ở thời điểm 6 tháng sau phẫu thuật).

Tái tạo mô có hướng dẫn bằng màng sinh học (guided tissue regeneration) (GTR):

  • Áp dụng cho các trường hợp co lợi mà tổ chức nha chu ở kẽ răng còn tốt. Ưu điểm không phụ thuộc vào tổ chức phần mềm ghép lân cận. Vùng co lợi được chuẩn bị giống như phẫu thuật ghép tổ chức liên kết dưới biểu mô, khác biệt là vạt lợi phải phủ lên che toàn bộ tấm màng sinh học. Nhược điểm là đắt tiền.