Tật nghiến răng ở trẻ em – Phần 1
Nghiến răng khi ngủ là hiện tượng hay gặp ở một số trẻ làm một số các bậc cha mẹ lo lắng. Một số trẻ nghiến răng có thể là do răng trên và dưới của trẻ không ăn khớp nhau làm trẻ khó chịu, nghiến răng sẽ làm trẻ cảm thấy dễ chịu hơn và dần dần trở thành thói quen.
Tật nghiến răng là hiện tượng thường xuyên nghiến chặt hàm răng, có thể phát ra tiếng ken két hoặc không ,là sự nghiến hoặc xiết chặt hàm răng một cách quá mức của các răng ở hai hàm trên và dưới do sự tiếp xúc mạnh giữa mặt nhai của các răng trên và dưới, thường gặp ở trẻ trên 5 tuổi, thường trẻ hay nghiến các răng hàm phía sau.
- Nghiến răng thường diễn ra vào lúc ngủ nhất là khi trẻ ngủ sâu, đặc biệt hay xảy ra khi trẻ mới bắt đầu ngủ. Đôi khi cũng thấy trẻ nghiến răng ban ngày khi trẻ bị căng thẳng hay lo âu.
Nhưng trẻ càng lớn thì càng bớt nghiến răng , thường trẻ sẽ hết nghiến răng tự nhiên khi trẻ lên 10 tuổi sau khi các răng vĩnh viễn mọc đầy đủ.
Những yếu tố nào gây nên chứng nghiến răng?
- Thực ra nguyên nhân và các yếu tố ảnh hưởng đến hiện tượng nghiến răng này cho đến nay vẫn chưa được xác định rõ ràng.
Có 2 nguyên nhân chính thường liên quan đến tật nghiến răng ở trẻ em:
- Do các răng hàm trên và hàm dưới mọc lệch lạc, răng không thẳng hàng , không khít khi khép 2 hàm răng sẽ dẫn đến chỗ tiếp xúc giữa 2 hàm răng không tốt không ăn khớp nhau làm trẻ khó chịu. Theo phản xạ, hai hàm răng sẽ có xu hướng cọ xát vào nhau và nghiến chặt lại và nghiến răng sẽ làm trẻ cảm thấy dễ chịu hơn.

- Stress : Nguyên nhân tâm lý cũng có thể làm trẻ cảm thấy lo âu, căng thẳng, kích động hay xúc cảm quá mức. Nghiến răng được xem là phản ứng đối với sự căng thẳng thần kinh và phần lớn là ở những trẻ có hệ thần kinh dễ bị kích thích. Ví dụ như trẻ đang lo lắng về bài kiểm tra, trẻ cãi nhau với anh chị em hay trẻ bị cha mẹ trách mắng kéo dài. Yếu tố tâm lý này cũng gây nên hiện tượng nghiến răng. Ban đêm, khi ngủ, stress có thể gây nên một áp lực đối với răng, làm hai hàm răng nghiến chặt vào nhau.
Các triệu chứng nghiến răng ở trẻ em
Đa số trẻ bị nghiến răng chỉ thấy có triệu chứng nghiến hay cắn chặt răng trong lúc ngủ.Hiện tượng nghiến răng thường xuyên như vậy có thể không làm ảnh hưởng gì đến sức khỏe của trẻ.
![]() |
![]() |
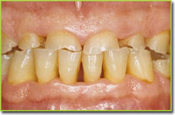
| Nghiến răng bình thường | Nghiến răng trầm trọng |
Tuy nhiên cũng có trường hợp trẻ nghiến răng mạnh đến mức có thể:
- Nghiến hay cắn chặt răng có thể gây ra tiếng ken két trong lúc ngủ.
- Mòn răng: Tùy mức độ nghiến răng, thời gian nghiến răng và độ cứng mô răng mà mức độ mòn răng là nhiều hay ít. mặt tiếp xúc của răng bị mòn thấp xuống trở nên phẳng dẹt. Một số trẻ nghiến các răng mạnh đến nỗi làm vỡ men bờ cắn ở mặt ngoài răng trước dưới và mặt trong răng trước trên.
- Những trường hợp nặng , men răng bị mòn, để lộ phần lớp ngà bên trong làm trẻ tăng nhạy cảm với thức ăn nóng và lạnh.
- Trẻ có thể bị nhức đầu âm ỉ mỗi sáng thức dậy.
- Đau tai do co thắt mạnh cơ hàm.
- Co, căng và đau cơ hàm.
- Rối loạn cơ và khớp thái dương hàm (cử động khó hoặc phát tiếng kêu).
Nghiến răng có để lại hậu quả gì cho trẻ?
Nếu trẻ bị nghiến răng mãn tính sẽ rất có hại cho răng, việc mọc răng và cơ , hàm. Răng sẽ bị mòn, hiện tượng này làm cho những thức ăn có axit và đường bám vào răng nhiều hơn và sâu răng sẽ phát triển. Ngoài ra tình trạng nghiến răng kéo dài có thể đưa đến những hậu quả xấu tới các hệ thống nhai như hệ thống răng, cơ hàm và khớp thái dương hàm, có thể dẫn đến gãy răng của trẻ, trong trường hợp nghiêm trọng có thể dẫn đến biến đổi hình dạng khuôn mặt của trẻ.
ThS, BS Nguyễn Quốc Dũng
Phó Trưởng Khoa RHM

